


\ こんなお悩みございませんか? /
- 歯周病に悩んでいる
- 歯周病を再発したくない
- インプラント周囲炎に悩んでいる
- ハグキから血が膿が出る
- できれば外科処置を避けたい
- メンテに時間をかけたくない
歯周病治療の最先端!
日本初! 厚生労働省認可の歯周病治療機器のご案内
この度、当院は日本初!厚生労働省認可治験済み歯周病治療機器【ブルーラジカルP-01】の導入を決定いたしました。
あべひろ総合歯科(三郷)および東松戸総合歯科クリニック(松戸)両院にてご予約承っております。
歯周病でお悩みの方は是非、この最先端の歯周病治療機器【ブルーラジカルP-01】をお試し・ご検討ください!
ブルーラジカル歯周病治療機器は、短時間で外科処置なしに歯周病を改善する画期的な治療機器となります。
この機会に口腔環境を改善し、快適で引き締まった美しいピンク色の歯茎を手に入れませんか?
また、歯周病を再発しないために口腔衛生指導も行っておりますので、お気軽にご相談ください。
歯周病治療で快適な口腔環境を手に入れよう!
- ピンク色の歯茎が美しい!
- 歯茎が引き締まって気持ちのいい生活
- 口臭の改善・予防対策
- 歯のぐらつきが改善し、食事を楽しめる
- 出血しない・ネバつかない
ブルーラジカルとは?
ブルーラジカルP-01は、
3%の過酸化水素と405nmの青色レーザーを同時に照射し、
ヒドロキシルラジカルを発生させることで、
歯周ポケット内の細菌を99.99%殺菌する
最先端の歯周病治療器です。
重度の歯周病患者に対する新たな選択肢として、
全国の歯科医院で導入が進んでおります。外科処置を行わずに口腔細菌を殺菌し、
プラーク・歯石の除去を行うため、
治療を短期間で完了することができます。
殺菌能力が高いため、再発防止にも効果的です。
※また人体に影響もございません。
※重度で進行している場合は抜歯になる場合もございます。
開発者の菅野太郎(東北大学大学院教授)が解説を行いました(6月7日放送)
ブルーラジカル理事長解説
※論文と当院での治療例を元に阿部ヒロ理事長自ら解説して頂きました。
“従来の治療との違い”
従来の治療法
超音波振動のみ
重度の歯周病になると口腔内細菌が存在する歯石の取り残しが増え、治癒が難しくなるので、外科処置を伴う場合があります。取り残した部分には、抗菌薬の投与といった副作用を伴う化学療法や抜歯になるケースもあります。
超音波振動 + ラジカル殺菌
過酸化水素とレーザー照射によるラジカル殺菌技術により、虫歯菌、歯周病を引き起こす口腔細菌を99.99%殺菌。歯石・プラークの除去および歯周ポケットの回復を行います。人体に影響はありません。
< 参考比較表 >
| 比較項目 | 従来の治療法 (超音波スケーラー) |
ブルーラジカル P-01 |
|---|---|---|
| 治療時間 | 長め | 短時間(1本あたり3〜5分) |
| 治療の仕組み | 超音波 のみ | ラジカル殺菌 + 超音波 |
| 治療後の 不快感 |
あり | ほぼなし |
| 歯肉への刺激 | あり | ほぼなし |
| 殺菌効果 | 中程度(60〜80%程度) | 高殺菌(99.99%) |
| 歯周ポケット 到達性 |
低い (5mm程度) |
深い (10mm程度) |
| 歯根面への影響 | 傷つける可能性あり | ほぼなし |
| 治療回数 | 複数回 | 基本1回 |
| 再発リスク | 比較的高い | 低い |
ブルーラジカル実施例のご紹介
実施例①
この患者様は、口腔内全体において重度の歯周病が生じており、歯磨き指導、クリーニング、Flap手術等を行ったが、歯周ポケットが深すぎるためブルーラジカル適用症例と診断し、施術を行いました。
実施前


施術前のレントゲンと口腔内写真です。施術前にプラークの除去を行ってから、施術します。
施術風景


深い歯周ポケットに青いレーザー光と過酸化水素水を照射し、患部を殺菌します。
照射動画
実施直後

照射後の患者様感想
痛みは全くなく、気が付いたら終わっていました。また1週間程度経ったら、少しずつ歯茎が締まり出し、今まで腫れていた歯茎が正常に戻りだしたことを実感しています。
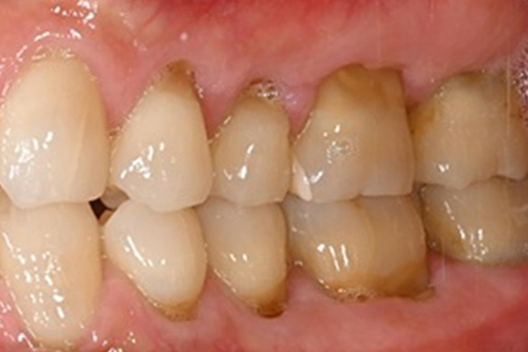
実施例②
この患者様は、スケーリングより歯周ポケットが6mm以上ある患者様で、ご本人も歯周病になりかけている自覚がありました。また、口臭も気になされていましたので、ブルーラジカルの適用症例と判断し、施術を行いました。
実施前


施術前のレントゲンと口腔内写真です。
施術風景



深い歯周ポケットに青いレーザー光と過酸化水素水を照射し、患部を殺菌しています。
照射動画
ご感想
治療の流れ
- 1.ご予約・カウンセリング
-
ご予約日時にご来院いただき、まずは患者様の口腔のお悩みなどをお伺いしながら、ブルーラジカル治療の概要・流れ等を説明いたします。
- 2.口腔内の検査・ブラッシング指導
-
カウンセリングにご納得いただけましたら、患者様の口腔内の検査を行います。検査結果をふまえ、当院より患者様に適した治療計画と今後のブラッシングについてご提案をさせて頂きます。
- 3.初期治療・ブルーラジカル治療
-
ブルーラジカル治療を行う前に、口腔状態が良好でない場合は初期治療を行います。ブルーラジカル治療は該当歯以外から感染が起きますと、せっかくの殺菌効果がなくなってしまうため、口腔全体(ブロック単位)の治療を前提としています。歯石歯垢の除去・クリーニングと同時にブルーラジカル治療を行います。
- 4.定期メンテナンスについて
-
ブルーラジカル治療の殺菌効果を持続させるためには、定期メンテナンスが必要です。当院では半年に1回のメンテナンスプランをお勧めしています。歯周病治療は患者様自身が口腔内を良好に保つことが重要ですので、当院にて口腔衛生指導を行います。トレーニングチケットもご用意しておりますので、不安な方はご利用くださいませ。
以下の方は事前に医師の相談が必要です。

ペースメーカーを
ご使用の方
光線過敏症の方

無カタラーゼ症の方

妊娠中の方

局所麻酔注射を
受けられない方
よくある質問
ブルーラジカルで歯周病は治りますか?治療回数は?
ブルーラジカルは厚生労働省承認の医療機器で、歯周ポケットの深さの減少、出血や腫れの軽減・口臭の改善など多くの症状に効果があり、歯周病の症状を大幅に改善する治療器具です。
治療回数は治療計画によって異なりますが、ブルーラジカルの照射は基本1回となります。その前にブラッシングやクリーニングなどの衛生口腔指導が入ります。 ブルーラジカルの治療終了後は、 ブラッシング・クリーニング等が必要となります。
治療時に痛みはありますか?人体に影響ありますか?
個人差がありますが、基本的には術後の痛みがでにくい治療とされています。また人体に大きな影響はございません。従来の歯周病治療と比べて痛みが少なく、多くの患者様がクリーニングを受けている感覚と感じています。治療後の不快感なども少なく、日常生活に特に問題ございません。
ブルーラジカルは保険適用ですか?治療費の目安は?
ブルーラジカル治療は自由診療扱いとなり、当院では1本あたり1.5万円を目安にお受けいただけます。
まずはお口の状況を検査した上でカウンセリングさせていただきます。ご安心ください。
最新型の画期的な治療方法ですので、軽度・重度に関わらず、歯周病にお悩みの患者様は是非ご相談ください。メンテナンスプログラムもご用意しておりますので、メンテナンス中のリスク・再発不安解消にも役立ちます。
遠方からの通院は可能ですか?
当院では遠方からの患者様が多く、広く受け入れております。
遠方の方には可能な限り来院回数を減らすため、集中治療プログラムをお勧めしています。インバウンドによる短期滞在でも治療が可能ですので、是非ご相談ください!※事前のご予約が必要となります。
インプラント周囲炎の治療にも効果はありますか?
インプラント周囲炎治療では、通常炎症部分の清掃や消毒を行い、重度の場合は歯肉を切開して対応いたします。ブルーラジカルは基本切開を必要としないため、治療中の痛みや術後の痛みがほとんどなく負担が少ない方法です。
インプラントのメンテナンスにお悩みの患者様に、とても有効な治療方法です。
ブルーラジカルの効果はどのくらい持続しますか?
効果を持続させるには、患者様の口腔状態を日々良好に保っていただくことが重要です。
当院ではブラッシングのトレーニングをいたしますので、ご不安の方は是非受診ください。
患者様用にブラッシングの管理する「ペリミル」というアプリをご提供しています。歯周病の再発防止にお役立ていただけます。
\ 症例多数あり /
インプラント治療から
一般歯科までお任せください
ブルーラジカル歯周病治療機 設置クリニック
- Google評価4.6あべひろ総合歯科 2025年現在
- Googleクチコミ数600件以上
- 完治後の再来院率90%以上
あべひろ総合歯科
あべひろ総合歯科(埼玉県三郷市)
〒341-0018 埼玉県三郷市早稲田2丁目2-8https://abehiro.com
048-950-2525 【GoogleMAP】
- JR武蔵野線「三郷駅」徒歩1分
- 駐車場完備6台
| 診療時間 | 月 | 火 | 水 | 木 | 金 | 土 | 日 | 祝 |
|---|---|---|---|---|---|---|---|---|
|
月火木金 9:30~19:30 |
○ | ○ | ― | ○ | ○ | ― | ― | ― |
|
水 9:30~20:00 |
― | ― | ○ | ― | ― | ― | ― | ― |
|
土日 9:30~19:00 |
― | ― | ― | ― | ― | ○ | ○ | △ |
- △:祝日診療日あり。事前にお問合わせください。
- マイナンバー保険証:オンライン資格確認を導入済み。ご利用いただけます。
東松戸総合歯科クリニック
東松戸総合歯科クリニック(千葉県松戸市)
〒270-2223 千葉県松戸市秋山68-12 クリニックモール内https://higasimatudo-dc.com
047-392-0101 【GoogleMAP】
- 北総鉄道「秋山駅」徒歩3分
- 駐車場完備10台
- 松戸新京成バス「東部小学校停留所」徒歩1分/「秋山停留所」徒歩1分
| 診療時間 | 月 | 火 | 水 | 木 | 金 | 土 | 日 | 祝 |
|---|---|---|---|---|---|---|---|---|
|
月火木金 9:30~19:30 |
○ | ○ | ― | ○ | ○ | ― | ― | ― |
|
水 9:30~20:00 |
― | ― | ○ | ― | ― | ― | ― | ― |
|
土日 9:30~19:00 |
― | ― | ― | ― | ― | ○ | ○ | △ |
- △:祝日診療日あり。事前にお問合わせください。
- マイナンバー保険証:オンライン資格確認を導入済み。ご利用いただけます。
治療プラン
①初期・中等度・メンテナンスプラン

口腔検査

初期治療

歯周ポケット
検査
歯石歯垢除去
クリーニング
ブルーラジカル
P-01
口腔衛生
指導
②中等度〜重度の歯周病患者様および完治プラン

口腔検査

初期治療

歯周ポケット
検査
歯石歯垢除去
クリーニング
ブルーラジカル
P-01
フラップ
手術※
口腔衛生
指導- ※フラップ手術について
ブルーラジカルP-01対応外の歯周ポケットの深度の場合は歯肉を切開し、直接除去します。
局部麻酔が必須となります。
③短期集中治療プラン

口腔検査

歯周ポケット
検査
歯石歯垢除去
クリーニング
ブルーラジカル
P-01
④定期ブルーラジカルプラン(半年に1回)

口腔検査

ブルーラジカル
P-01
料金について
部分処置&メンテナンス対応
● 1歯〜 市場平均価格25,000円
15,000円+税〜
2026年5月末までのご予約限定
※施術時間 5歯以内は30分程度
全顎的治療
● 20歯~28本(フルマウスの場合)
400,000円+税〜
※全機材費込みで50万+税/選定療養別途
※施術時間 2時間程度
スピード治療(ブルーラジカルのみ)
● 全顎クリーニング+(必要に応じてSRP)+ブルーラジカル
料金ご相談ください
※まずはお口の状況を確認いたします。チェック含め来院回数2回程度
※無痛治療(沈静麻酔)をご希望の場合+8万円
※施術時間 3時間程度
時間外診療
● 要相談にて承っております。
以下のような治療も承わっております。
(ただし医師の判断により治療法が変わる場合がございます。)
● 根管治療(1歯)
50,000円+税〜
● カリエス治療(1歯)
50,000円+税〜
● 徹底した歯ブラシ指導
5,000円+税(30分)
治癒は患者様のプラークコントロールが重要です。
● 歯内療法
50,000円/1歯+税
上部構造は、自由診療となります。
(予後にかかわらず)
● 虫歯治療
¥30,000/1歯+税
MTAセメント歯髄保護は別途、上部構造は自由診療となります。
(予後にかかわらず)
● 親知らずの腫れ
20,000円+税(10分)
今すぐ抜歯できない場合/炎症がひどい場合
● インプラント周囲炎
【外科手術なし】
¥40,500/1歯+税
【手術と併用】
外科的手術費用+YAGレーザー+ブルーラジカル併用
¥90,000/1歯+税
理事長メッセージ
知識や技術はもちろん、機器・材料まで。
プロの目から見て、すべてが最高水準の歯科治療を。
あべひろ総合歯科クリニック
理事長 阿部ヒロ
当院の理事長特別診療は 正確な診査・診断をおこない、患者様に現状を理解していただくことから始まります。
そのうえで、患者様の思いを汲み取り、数ある選択肢のなかから、プロの目から見て最善・最良の選択肢をご提案いたします。
「最新技術を駆使した歯科治療を受けたい」「他院の治療方針に疑問があるため、セカンドオピニオンを聞きたい」といった方におすすめです。
当院は遠方からの患者様も多く、近年ニーズが高まり続けている歯科治療目的の訪問外国人の受け入れも行っております。
これまでの歯周病治療は、歯周ポケットが深いと歯肉を切開・歯石を除去する必要があり、大きな負担がかかりました。
しかし、最先端の治療器具ブルーラジカルP-01は、負担のある外科手術を必要とせず、
歯周ポケットの減少・メンテナンスが可能となります。
ブルーラジカル歯周病治療器は、自信をもってお勧めできる医療機器ですので、現在歯周病・インプラント歯周炎で悩んでいる方、メンテナンスをご希望の患者様はぜひ一度、当院にお問い合わせください。
略歴・著書
著書掲載
YouTube(チャンネル名)
・インプラントと歯周病の正しい知識【歯科医 阿部ヒロ】@implant_jp
・医療法人社団輝未来 @kagayakumirai.dental
・あべひろ総合歯科 @あべひろ総合歯科-h7v
略歴
- 東京歯科大学大学院卒博士号学位を取得
槙原歯科豊洲インプラントセンター(東京都江東区)にて院長兼施設長 - 埼玉県三郷市にてあべひろ総合歯科、千葉県松戸市にて東松戸総合歯科クリニックを開業
- International Dental Implant Association
(IDIA:国際口腔インプラント協会)インプラント認定医・専門医 - International Congress of Oral Implantologists
(ICOI:国際口腔インプラント学会)インプラント専門医・専門医 - International Oral Medical Network(IOM)会員
- ニューヨーク大学留学卒業
- EAO(ヨーロッパインプラント学会) アクティブメンバー会員
- イェテボリ大学診断学及び歯内療法学専門科にて短期留学卒業
- 5-D Japan Advancedコース終了
- マロークリニックAll-on-4研修
- ベルン大学Dr.Buserマスターコース参加(ベルン)
- Dr.Grunderプライベートレッスン参加(チューリッヒ)
- トーメンメディカル(SPIインプラント工場)視察(バーゼル)
- 実践的インプラント歯周病TEAM 白鳥コース受講
所属学会・研究会
- 日本歯周病学会
- 日本臨床歯周病学会
- 日本口腔インプラント学会
- 国際インプラント学会(ICOI)
- 日本歯科麻酔科学会
- 昭和大学口腔外科特別研究医局員
- TEAM of IMPLANTOLOGY SHOWA UNIV.
- International Oral Medical Network(IOM)会員
- 臨床ゲノム医療研究会認証医
- 美容整形医療研究会・審美歯科顧問
- Saturday dental Study Group(SSG)理事、代表/指導医
- Journal Club会員
- デンタルコンセプト21会員
- MID-G正会員
- 日本アンチエイジング歯科学会
\ 症例多数あり /
インプラント治療から
一般歯科までお任せください
ブルーラジカル歯周病治療機 設置クリニック
- Google評価4.6あべひろ総合歯科 2025年現在
- Googleクチコミ数600件以上
- 完治後の再来院率90%以上
あべひろ総合歯科
あべひろ総合歯科(埼玉県三郷市)
〒341-0018 埼玉県三郷市早稲田2丁目2-8https://abehiro.com
048-950-2525 【GoogleMAP】
- JR武蔵野線「三郷駅」徒歩1分
- 駐車場完備6台
| 診療時間 | 月 | 火 | 水 | 木 | 金 | 土 | 日 | 祝 |
|---|---|---|---|---|---|---|---|---|
|
月火木金 9:30~19:30 |
○ | ○ | ― | ○ | ○ | ― | ― | ― |
|
水 9:30~20:00 |
― | ― | ○ | ― | ― | ― | ― | ― |
|
土日 9:30~19:00 |
― | ― | ― | ― | ― | ○ | ○ | △ |
- △:祝日診療日あり。事前にお問合わせください。
- マイナンバー保険証:オンライン資格確認を導入済み。ご利用いただけます。
東松戸総合歯科クリニック
東松戸総合歯科クリニック(千葉県松戸市)
〒270-2223 千葉県松戸市秋山68-12 クリニックモール内https://higasimatudo-dc.com
047-392-0101 【GoogleMAP】
- 北総鉄道「秋山駅」徒歩3分
- 駐車場完備10台
- 松戸新京成バス「東部小学校停留所」徒歩1分/「秋山停留所」徒歩1分
| 診療時間 | 月 | 火 | 水 | 木 | 金 | 土 | 日 | 祝 |
|---|---|---|---|---|---|---|---|---|
|
月火木金 9:30~19:30 |
○ | ○ | ― | ○ | ○ | ― | ― | ― |
|
水 9:30~20:00 |
― | ― | ○ | ― | ― | ― | ― | ― |
|
土日 9:30~19:00 |
― | ― | ― | ― | ― | ○ | ○ | △ |
- △:祝日診療日あり。事前にお問合わせください。
- マイナンバー保険証:オンライン資格確認を導入済み。ご利用いただけます。










